文章转自:美妆前沿研究
2025年,欧莱雅研发团队联合法国里昂功能基因组研究所,在国际权威期刊《Matrix Biology》发表综述《Collagen diversity in human skin》。
作为深耕皮肤科学的领军者,欧莱雅团队整合了当前最全面的胶原蛋白研究。
通过空间转录组、原子力显微镜等前沿技术,首次系统拆解了人类皮肤胶原蛋白的 “大家族”—— 它不是静态的 “支撑骨架”,而是调控皮肤稳态的 “多功能调节器”,从发育、老化到伤口愈合,从肤色差异到疾病关联,为皮肤护理和治疗提供了全新的科学依据。
01
皮肤胶原蛋白:
不止一种,而是 16+“成员” 的大家族
胶原蛋白是一个由28种不同类型组成的超家族,人体皮肤中已鉴定出至少16种。它们不仅分布于真皮层,也存在于表皮-真皮交界处(DEJ)、皮下组织及皮肤附属器中。
胶原蛋白以三螺旋结构为基础,通过不同α链的组合形成同源或异源三聚体,进一步组装成纤维、网状或锚定纤维等多种超分子结构,从而支撑起皮肤的多层次功能。
人类皮肤胶原蛋白的多样性:多种胶原蛋白类型和同种型。(A) 人类皮肤及其不同层次结构的示意图。按结构类别和定位分类的人类皮肤胶原蛋白类型多样性:(B) 在 DEJ 处及 (C) 真皮内。(D) 人类皮肤中可能存在的不同胶原蛋白同种型。
真皮层中的胶原蛋白以I型和III型为主,约占皮肤胶原总量的80%和15%,二者比例直接影响胶原纤维的粗细与力学性能。V型、XI型等“次要胶原”虽含量低,却在调控纤维形成、维持DEJ稳定性等方面发挥关键作用。
02
衰老:胶原网络的“退化史”
光防护和光暴露的人类皮肤随年龄的组织学变化。(A, B) Sirius红染和(C, D) Herovici染色。(E-G) Orcein染色,(H-J) Sirius红染和(K-M) Herovici染色。
光老化则更为复杂。长期紫外线暴露引发氧化应激,激活AP-1、NF-κB等信号通路,促进基质金属蛋白酶(MMPs)表达,加速胶原降解,并抑制新生胶原合成。
此外,紫外线与晚期糖基化终末产物(AGEs)的协同作用,进一步加剧皮肤黄变、弹性纤维变性(即日光性弹力纤维变性),形成典型的“光老化肌肤”。
03
创伤修复与瘢痕形成:胶原的“双刃剑”
在伤口愈合过程中,胶原蛋白的表达具有严格的时空顺序。早期以III型胶原为主,后期逐渐被I型胶原替代。V型、VI型胶原在修复早期即参与调控纤维形成和细胞迁移。若修复失衡,则可能形成增生性瘢痕或瘢痕疙瘩。
瘢痕疙瘩作为一种人类特有的纤维化疾病,其胶原代谢异常尤为突出:I型/III型胶原比例升高,同时伴随XII型、XIV型、XVI型等次要胶原的异常表达。近年研究发现,瘢痕疙瘩中甚至出现软骨相关胶原(如II型、XI型)的异位表达,提示其纤维化过程可能伴随细胞命运的“误分化”。
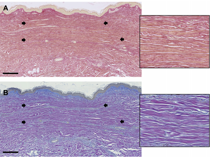
瘢痕组织与正常皮肤胶原排列对比。(A)天狼星红和(B)Herovici染色法用于观察胶原蛋白网络。
值得注意的是,胎儿皮肤具有“无瘢痕愈合”能力,其胶原I/III比例接近1:1,且成纤维细胞收缩力低、对TGF-β反应弱。这为开发促进再生、抑制瘢痕的治疗策略提供了重要线索。
04
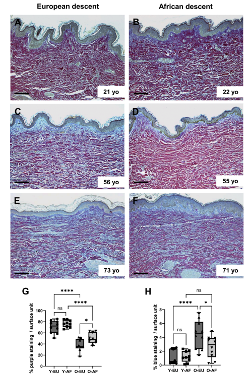
皮肤多样性:肤色与性别的影响
欧洲裔与非洲裔皮肤衰老过程中胶原结构差异
这些差异提示我们:护肤与治疗策略应考虑个体化,尤其在抗衰老、瘢痕防治等领域需结合肤色、性别与激素状态进行精准干预。
05
欧莱雅前沿技术:从观察到干预
- 检测技术:从 “宏观” 到 “微观”
空间转录组能精准定位不同胶原亚型的表达位置,单细胞 RNA 测序可区分成纤维细胞亚型,原子力显微镜(AFM)能在纳米尺度观察胶原纤维的碎片化程度 —— 这些技术已用于欧莱雅的皮肤老化检测,比如通过胶原纤维直径判断皮肤老化等级。
- 治疗方向:靶向 “亚型” 而非 “整体”
以往抗衰产品多笼统 “补充胶原蛋白”,但未来的方向是靶向特定亚型:比如针对光老化导致的 VII 型胶原减少,开发重组 VII 型胶原修复 DEJ;针对纤维化中的 XI 型胶原过度表达,研发特异性抑制剂。
- 个性化护肤:基于胶原特征的 “精准匹配”
结合肤色、性别、年龄的胶原差异,欧莱雅等品牌正推进 “定制化方案”:比如欧洲裔女性重点补充 I/III 型胶原 + 抗糖化,非洲裔男性重点防晒 + 保护胶原排列结构。
欧莱雅团队的这篇综述,首次完整揭示了皮肤胶原蛋白的 “多样性” 和 “动态平衡”:16 种胶原类型、多种亚型的精准分布,以及合成与降解的动态调控,共同支撑皮肤的健康状态。
发稿/咨询/合作联系:13710470565(微信)






